Sâu răng là căn bệnh rất phổ biến, chiếm tới 90% trong số các bệnh thường gặp về răng miệng. Tỷ lệ này ở người Việt là khá cao.
Vi khuẩn gây sâu răng luôn tồn tại trong khoang miệng, khi có điều kiện thích hợp từ nguồn thức ăn, sản sinh và tiết ra chất hữu cơ, plyore, enzyme thuỷ phân chất lòng trắng trứng (một thành phần trong nước miếng).
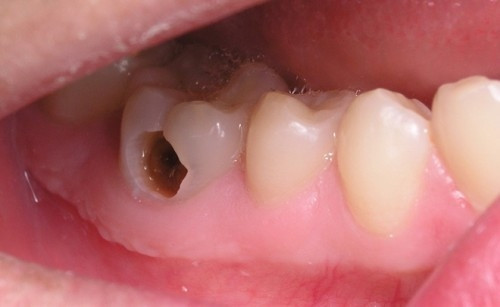
![]() |
| Cách chữa răng đau bằng gừng được nhiều người lựa chọn. |
Các chất này hòa tan chất hữu có và phân hủy chất vô cơ trong kết cấu răng. Khi đó các vi khuẩn bám vào răng tạo thành các đốm khuẩn, tấn công răng và gây sâu răng.
Dân gian có câu nói truyền miệng “Đông ăn củ cải, hạ ăn gừng, khỏi phiền bác sĩ kê đơn thuốc”, ngoài những tác dụng làm gia vị cho các món ăn thì gừng còn cực tốt cho sức khỏe.
Theo Đông y, gừng có vị cay, tính ấm có tác dụng tán hàn, ôn trung, tiêu đờm, giải độc. Trong các vị thuốc đông y một số bệnh có tính hàn hay nhiệt thì đều có vài lát gừng vì thế gừng có tác dụng chữa các bệnh như cảm cúm, đau đầu, đau bụng kinh, phòng chống bệnh sỏi mật và đặc biệt là sâu răng. Cách chữa đau răng bằng gừng sau đây sẽ cực kỳ hiệu quả, các bạn có thể tham khảo.
Cách chữa đau răng từ gừng
Bạn hãy rửa sạch một củ gừng, cạo vỏ rồi đập dập. Dùng phần gừng đó cắn chặt vào chỗ răng đau giữ trong khoảng 15 – 20 phút cho tinh chất gừng tiết ra. Khi tinh chất gừng tiết ra hết, bạn không cảm thấy cay nữa thì hãy lấy củ gừng khác và làm như vậy.
![]() |
| Trước khi đến nha sĩ, bạn có thể dùng gừng để hết cơn đau răng. |
Lặp đi lặp lại nhiều lần cho đến khi bạn cảm thấy đỡ đau răng thì thôi nhé. Chữa đau răng bằng gừng theo cách này cực đơn giản mà hiệu quả thật bất ngờ, bạn hãy thử mà xem. Nhất là trường hợp đau răng do sâu răng.
Chú ý:
- Nếu bạn không thể chịu đựng được việc nhai nhỏ những miếng gừng tươi, bạn có thể đặt những lát gừng mới thái ở dưới đáy của cốc. Đổ nước sôi lên cốc nước có chứa gừng để tạo thành một loại trà gừng và cho phép chúng được ngâm trong nước nóng ít nhất 20 phút.
- Sau đó, uống trà gừng và làm sạch xung quanh răng bị đau trước khi nuốt.
- Gói phần chưa sử dụng của củ gừng trong một mảnh bọc nhựa và lưu trữ nó trong tủ lạnh khi không sử dụng.
- Tiếp tục chịu khó áp dụng biện pháp này trong nhiều ngày. Nếu tình trạng đau răng không cải thiện, hãy đến gặp nha sĩ.

