Phẫu thuật thành công trường hợp bị trật khớp gối, đứt động mạch khoeo sau tai nạn

Phẫu thuật thành công trường hợp bị trật khớp gối, đứt động mạch khoeo sau tai nạn

Ngày 27/9, Bệnh viện Đa khoa tỉnh Bạc Liêu cho biết vừa phẫu thuật thành công giữ lại chân trái cho anh Thái Văn H (sinh 1989, ngụ huyện Đông Hải) bị ngã xe trật khớp gối, đứt động mạch khoeo.

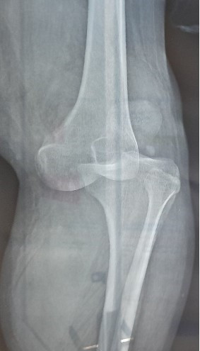
Phẫu thuật thành công trường hợp bị trật khớp gối, đứt động mạch khoeo sau tai nạn ảnh 1Hình ảnh tổn thương chân trái của anh Thái Văn H. Ảnh: TTXVN phát

Bác sỹ Chuyên khoa I Nguyễn Phú Nhứt, Khoa Ngoại tổng hợp, Bệnh viện Đa khoa tỉnh Bạc Liêu thông tin, ngày 18/9, anh H. nhập viện trong tình trạng sưng, đau, hạn chế khi vận động khớp gối trái sau tai nạn giao thông.

Theo người nhà anh H, trước đó 2 giờ, anh H chạy xe máy tự ngã. Lúc vào viện, anh H. tỉnh táo, sưng nề, bầm tím, biến dạng gối trái, cẳng bàn chân trái tím, lạnh, mất mạch chày trước chày sau chân trái.

Ngay lập tức, anh H được sơ cứu, siêu âm mạch máu, chụp CTA chi dưới khẩn cấp và được chẩn đoán đứt động mạch khoeo trái trên gối/trật khớp gối trái do tai nạn giao thông. Sau đó, ê-kip các bác sỹ Khoa Ngoại tổng hợp và Khoa Chấn thương chỉnh hình phối hợp tiến hành phẫu thuật khẩn cấp ngay cho bệnh nhân.

Phẫu thuật thành công trường hợp bị trật khớp gối, đứt động mạch khoeo sau tai nạn ảnh 2Anh Thái Văn H. đang được điều trị, theo dõi sức khỏe tại Bệnh viện Đa khoa tỉnh Bạc Liêu. Ảnh: TTXVN phát

Anh H đã được các bác sỹ nắn trật khớp gối, cố định khớp gối bằng đinh Kisner, mở cân cẳng chân giúp giảm chèn ép khoang, bộc lộ động mạch khoeo trên và dưới gối. Bệnh nhân được phục hồi động mạch khoeo bằng tĩnh mạch hiển tự thân đảo ngược đầu, khâu phục hồi tĩnh mạch khoeo... và đang được tiếp tục điều trị kháng sinh, giảm đau. Sau 5 ngày phẫu thuật thành công, chân trái của anh H đã hồng ấm, mạch rõ, vận động cảm giác bàn chân trái tốt.

Bác sỹ Chuyên khoa I Nguyễn Phú Nhứt cho biết thêm, trường hợp tổn thương mạch máu phối hợp khá thường gặp của trật khớp gối với tỷ lệ từ 7 - 40%, tỷ lệ cắt cụt chi là khoảng 10%, tỷ lệ cắt cụt sau phẫu thuật là khoảng 5%. Đây là một trong những phẫu thuật khó do vị trí đứt khó tiếp cận để phục hồi mạch máu. Thời gian vàng để cứu chi là khoảng 6 giờ; nếu không được chẩn đoán và phẫu thuật kịp thời dễ dẫn đến cắt cụt chi. Vì vậy, để phẫu thuật thành công, cần phải có sự phối hợp nhanh chóng, chính xác, nhịp nhàng từ các khoa cấp cứu, khoa chẩn đoán hình ảnh, khoa gây mê và ê-kip bác sỹ phẫu thuật.

Tuấn Kiệt

(TTXVN)

Có thể bạn quan tâm

Sạt lở đất đá gây ách tắc giao thông trên Quốc lộ 6

Sạt lở đất đá gây ách tắc giao thông trên Quốc lộ 6

Theo thông tin từ Phòng Cảnh giao thông, Công an tỉnh Phú Thọ, khoảng 14 giờ 30 phút ngày 14/12, tại Km124+300, đèo Thung Khe (Quốc lộ 6), đoạn qua xã Mai Châu, tỉnh Phú Thọ xảy ra vụ sạt lở đất đá nghiêm trọng khiến mặt đường bị vùi lấp hoàn toàn, gây ách tắc giao thông.

Người phụ nữ Khmer giữ nét vẽ tranh trên kiếng ở xã Thuận Hòa

Người phụ nữ Khmer giữ nét vẽ tranh trên kiếng ở xã Thuận Hòa

Nghệ nhân Triệu Thị Vui, 67 tuổi, ở xã Thuận Hòa (TP Cần Thơ), được biết đến như “người giữ lửa” của nghề vẽ tranh trên kiếng truyền thống, một nét nghệ thuật đặc trưng của văn hóa Khmer Nam Bộ. Qua từng nét vẽ tinh tế, bà tái hiện các tích Phật, mang giá trị nghệ thuật và đậm tính tâm linh, đồng thời truyền cảm hứng cho thế hệ trẻ, góp phần gìn giữ sắc màu tranh kiếng Khmer đang ngày càng hiếm người theo loại tranh thủ công này.

Chăm lo sức khỏe cho người cao tuổi, tiếp sức đến trường cho học sinh dân tộc Khmer

Chăm lo sức khỏe cho người cao tuổi, tiếp sức đến trường cho học sinh dân tộc Khmer

Sáng 13/12, hướng đến chào mừng Đại hội đại biểu Đoàn Thanh niên thành phố Cần Thơ lần thứ I, nhiệm kỳ 2025 - 2030, Thành đoàn Cần Thơ phối hợp cùng Ủy ban Mặt trận Tổ quốc Việt Nam xã Mỹ Tú tổ chức hoạt động khám bệnh, cấp phát thuốc miễn phí và tặng quà cho người dân, trẻ em tại địa phương.

Phẫu thuật miễn phí cho bệnh nhân ở Đắk Lắk và vùng lân cận

Phẫu thuật miễn phí cho bệnh nhân ở Đắk Lắk và vùng lân cận

Sáng 13/12, Trung tâm Bảo trợ xã hội và Trẻ em tỉnh Đắk Lắk (Sở Y tế) phối hợp với Tổ chức Phẫu thuật nụ cười Operation Smile Việt Nam và Bệnh viện Đại học Y dược Buôn Ma Thuột tổ chức Chương trình khám và phẫu thuật miễn phí cho bệnh nhân trên địa bàn tỉnh và các vùng lân cận.

Xây dựng 650 căn nhà cho các hộ dân Đắk Lắk bị thiệt hại do thiên tai

Xây dựng 650 căn nhà cho các hộ dân Đắk Lắk bị thiệt hại do thiên tai

UBND tỉnh Đắk Lắk đã quyết định hỗ trợ xây mới và sửa chữa khẩn cấp 650 nhà dân bị sập, đổ, trôi hoặc hư hỏng do bão số 13 (Kalmaegi) và đợt mưa lớn từ ngày 15 - 20/11/2025. Tổng kinh phí dự kiến hơn 110 tỷ đồng (khoảng 170 triệu đồng/nhà), được huy động từ nguồn vận động của Ủy ban Mặt trận Tổ quốc Việt Nam tỉnh và Công an tỉnh Đắk Lắk.

Thay đổi tư duy làm nông nghiệp của đồng bào vùng cao

Thay đổi tư duy làm nông nghiệp của đồng bào vùng cao

Tỉnh Quảng Ngãi có khoảng 25% dân số là người đồng bào dân tộc thiểu số. Những năm gần đây, nhờ triển khai linh hoạt các Chương trình Mục tiêu Quốc gia, chính quyền địa phương đã đưa ra nhiều giải pháp đồng bộ. Người dân được hỗ trợ đa chiều về nhà ở, cây con giống, vốn vay ưu đãi, tạo thêm điều kiện để vươn lên, cuộc sống vật chất lẫn tinh thần không ngừng phát triển, khởi sắc.

Lực lượng quân y Binh đoàn 15 thăm, khám sức khỏe cho các đối tượng chính sách, người có hoàn cảnh khó khăn và nhân dân bị ảnh hưởng bởi thiên tai, lũ lụt tại phường Quy Nhơn Đông (tỉnh Gia Lai). Ảnh: Quang Thái/TTXVN

Chăm sóc sức khỏe và hỗ trợ an sinh cho người dân vùng lũ Gia Lai

Trong ngày 11-12/12, Binh đoàn 15 (Bộ Quốc phòng) tổ chức chương trình khám bệnh, tư vấn sức khỏe, cấp thuốc miễn phí và trao quà an sinh cho các đối tượng chính sách, người có hoàn cảnh khó khăn và nhân dân bị ảnh hưởng bởi thiên tai, lũ lụt tại phường Quy Nhơn Đông, tỉnh Gia Lai.

'Lợi kép' từ chủ trương giao, khoán bảo vệ rừng

'Lợi kép' từ chủ trương giao, khoán bảo vệ rừng

Giao rừng gắn với giao đất cho hộ gia đình, cộng đồng dân cư là chủ trương lớn của Đảng, Nhà nước nhằm mục đích đảm bảo toàn bộ diện tích rừng tự nhiên đều có chủ rừng cụ thể. Tại Quảng Ngãi, tính đến thời điểm hiện tại, tỉnh đã thực hiện giao, khoán bảo vệ rừng cho khoảng hơn 5.600 hộ gia đình và 500 cộng đồng dân cư với tổng diện tích lên tới hơn 204.000 ha. Chính sách này đã và đang đem lại nhiều lợi ích thiết thực.

Đắk Lắk triển khai 'Chiến dịch Quang Trung' với tinh thần tổng lực, thần tốc

Đắk Lắk triển khai 'Chiến dịch Quang Trung' với tinh thần tổng lực, thần tốc

Triển khai “Chiến dịch Quang Trung” thần tốc xây dựng mới, sửa chữa nhà ở cho các hộ gia đình có nhà bị sập, đổ, trôi do bão số 13 và đợt mưa lũ lịch sử trong tháng 11 vừa qua, các cơ quan, đơn vị, địa phương trong tỉnh Đắk Lắk cùng sự hỗ trợ của các lực lượng quân đội, công an… đang huy động tối đa nhân lực, vật lực, đẩy nhanh tiến độ thi công, đảm bảo chất lượng theo chỉ đạo của Thủ tướng Chính phủ.

Cao Bằng yêu cầu chi tiết hóa thông báo xả lũ, đẩy mạnh trồng rừng đầu nguồn

Cao Bằng yêu cầu chi tiết hóa thông báo xả lũ, đẩy mạnh trồng rừng đầu nguồn

Ngày 11/12, Kỳ họp thứ 38 HĐND tỉnh Cao Bằng khóa XVII, nhiệm kỳ 2021-2026 tiếp tục phiên chất vấn, trả lời chất vấn và bế mạc kỳ họp. Vấn đề về xả lũ của các thủy điện trong mùa mưa lũ, giải ngân vốn đầu tư cho các dự án, trồng rừng, hỗ trợ người dân bị ảnh hưởng bởi dịch tả châu Phi được nhiều đại biểu quan tâm.

Thực hiện Nghị quyết 72-NQ/TW: Niềm vui ở vùng biên viễn

Thực hiện Nghị quyết 72-NQ/TW: Niềm vui ở vùng biên viễn

Nghị quyết 72-NQ/TW của Bộ Chính trị về một số giải pháp đột phá, tăng cường bảo vệ, chăm sóc và nâng cao sức khỏe nhân dân đang được tỉnh Đồng Nai tích cực triển khai. Tại xã biên giới Hưng Phước, niềm vui, sự phấn khởi hiện rõ trên gương mặt của bà con dân tộc thiểu số khi các đoàn y tế tìm đến từng ấp để thăm khám sức khỏe.

Chăm lo phát triển vùng đồng bào dân tộc Khmer ở biên giới

Chăm lo phát triển vùng đồng bào dân tộc Khmer ở biên giới

Xã Tân Hòa, tỉnh Tây Ninh là địa bàn biên giới có đông đồng bào dân tộc thiểu số sinh sống, trong đó người Khmer chiếm tỷ lệ lớn với gần 200 hộ, tập trung chủ yếu tại ấp Con Trăn. Những năm qua, đời sống của đồng bào từng bước được cải thiện nhờ sự quan tâm của Đảng, Nhà nước cùng sự nỗ lực vươn lên của người dân.

Trao học bổng Vừ A Dính tiếp sức học sinh dân tộc thiểu số đến trường

Trao học bổng Vừ A Dính tiếp sức học sinh dân tộc thiểu số đến trường

Ngày 10/12, tại xã Càng Long, tỉnh Vĩnh Long, Quỹ học bổng Vừ A Dính và Câu lạc bộ “Vì Hoàng Sa - Trường Sa thân yêu” phối hợp với Tỉnh Đoàn, Sở Giáo dục và Đào tạo tỉnh Vĩnh Long tổ chức trao học bổng năm học 2025 - 2026 cho học sinh dân tộc thiểu số, vùng biển đảo và con sĩ quan, quân nhân chuyên nghiệp Bộ đội Biên phòng tỉnh.

Xây dựng thương hiệu từ vùng quýt cổ Phú Thọ

Xây dựng thương hiệu từ vùng quýt cổ Phú Thọ

Đang vào chính vụ mùa thu hoạch quýt Nam Sơn, xã Vân Sơn, tỉnh Phú Thọ. Từ vùng trồng quýt cổ, đến việc áp dụng mở rộng diện tích trồng cam canh, đang được chính quyền địa phương triển khai bài bản, khoa học. Qua đó, rà soát các cây đầu dòng chất lượng cao để nhân giống, áp dụng quy trình chăm sóc hữu cơ, sử dụng phân vi sinh nhằm khôi phục độ phì đất và nâng cao sức đề kháng cho cây.

Sinh kế nhỏ mở lối đổi thay vùng biên giới Gia Lai

Sinh kế nhỏ mở lối đổi thay vùng biên giới Gia Lai

Tại các xã biên giới của tỉnh Gia Lai, các chương trình mục tiêu quốc gia về giảm nghèo bền vững và phát triển kinh tế - xã hội vùng đồng bào dân tộc thiểu số đang mang lại chuyển biến rõ nét. Những hỗ trợ thiết thực như cây giống, vật nuôi, hướng dẫn kỹ thuật và vốn ưu đãi đã tạo điểm tựa để đồng bào cải thiện thu nhập, ổn định đời sống và từng bước vươn lên thoát nghèo.

Tiếp sức đồng bào vùng biên an cư, lạc nghiệp

Tiếp sức đồng bào vùng biên an cư, lạc nghiệp

Với quyết tâm cao và sự đồng lòng của cấp ủy, chính quyền, người dân, xã vùng cao biên giới Phong Thổ của tỉnh Lai Châu hướng đến mục tiêu mọi hộ dân trên địa bàn đều có nhà kiên cố để an cư, lạc nghiệp. Địa phương này đang khẩn trương triển khai xóa nhà tạm, dột nát đợt 2 để góp phần nâng cao đời sống vật chất, tinh thần cho người dân vùng cao.

Đậm đà bản sắc Cơ Tu qua từng món ăn dân dã

Đậm đà bản sắc Cơ Tu qua từng món ăn dân dã

Đơn giản, không cầu kỳ trong cách chế biến, cũng không kén chọn nguyên liệu, ẩm thực của người Cơ Tu hiện diện như hơi thở tự nhiên của núi rừng, mộc mạc mà tinh tế, giản dị nhưng vẫn mang đậm dấu ấn văn hóa của đồng bào mình.

Đắk Lắk khẩn trương khôi phục sản xuất và nhà ở cho người dân

Đắk Lắk khẩn trương khôi phục sản xuất và nhà ở cho người dân

Các địa phương phía Đông tỉnh Đắk Lắk vừa trải qua đợt mưa lũ lịch sử vào giữa tháng 11 với thiệt hại nặng nề về người và tài sản. Đến nay, các dịch vụ, hạ tầng thiết yếu đã được khôi phục, tỉnh Đắk Lắk tiếp tục khắc phục hậu quả thiên tai, đặc biệt sớm khôi phục sản xuất, ổn định đời sống nhân dân.

Tiếp thêm động lực cho học sinh, người dân khó khăn vùng biên giới Tây Nam

Tiếp thêm động lực cho học sinh, người dân khó khăn vùng biên giới Tây Nam

Chiều 9/12, Đồn Biên phòng Phú Mỹ (thuộc Ban Chỉ huy Bộ đội Biên phòng tỉnh An Giang) tổ chức gặp mặt, trao quà và học bổng cho học sinh thuộc chương trình “Nâng bước em tới trường - Con nuôi Đồn Biên phòng” và dự án “Cán bộ, chiến sĩ Quân đội nâng bước em tới trường” trên địa bàn xã Giang Thành (tỉnh An Giang) và huyện Kampong Trach, tỉnh Kampot (Vương quốc Campuchia).